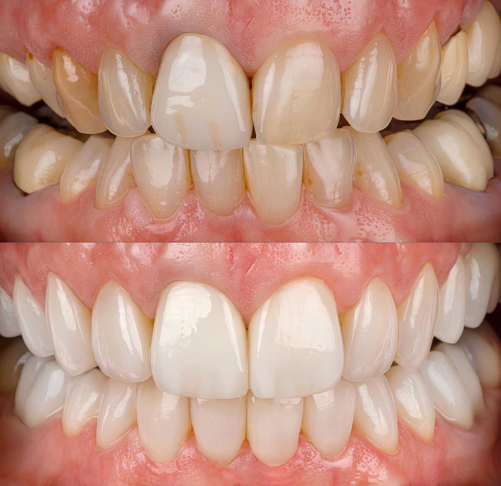
Caso 1: Carillas de porcelana
También llamadas facetas cerámicas o frentes laminados. Permiten reconstruir las sonrisas dañadas por alteraciones de color mediante un tallado mínimo. Son aplicables a los casos en que otras técnicas como el blanqueamiento son insuficientes. También solucionan alteraciones en la forma y posición de los dientes. Están confeccionadas por técnicas de robótica siendo muy perfectas y muy naturales. En todos los casos, empezaremos con una impresión digital de su boca y diseñaremos su sonrisa con un programa específico para ello. Posteriormente colocaremos lo que se denomina un «mock-up» que no es más que una maqueta de su futura sonrisa, la cual colocaremos en su boca provisionalmente por unos días para su aprobación, y será entonces cuando fabricaremos las carillas definitivas.


0 comentarios en “Carillas de porcelana” Add yours →