Avanzamos con los tiempos, incorporando en tiempo real las más avanzadas tecnologías, como la impresión digital con escáner intraoral, la radiología 3D de baja radiación CBCT, y la robótica aplicada a la fabricación de piezas dentales. Todo esto sin tener que acudir a ningún centro externo.
Nos distinguimos por aplicar una odontología moderna, precisa e indolora.
Entre los muchos servicios destacamos:
Férulas Guiadas para Implantes
Combinando la Tomografía Computarizada de haz Cónico (CBCT), la informática y el diseño virtual 3D, podemos colocar los implantes de manera totalmente precisa y previsible, mediante guías quirúrgicas de impresión 3D realizadas en el propio centro.
En determinados casos podemos colocar “Dientes en un día”, donde realizamos la extracción de los dientes dañados, la colocación de los implantes y las prótesis en una sola visita, gracias a que aplicamos tecnología de resonancia magnética intraoral para determinar la estabilidad primaria de los implantes que acabamos de colocar.
Prótesis dentales de Zirconio
Actualmente, todas nuestras prótesis fijas son monolíticas de zirconio confeccionadas por medio de la robótica más avanzada. Las prótesis de zirconio tienen una gran dureza, un ajuste perfecto y una gran belleza natural. Al ser de un solo material compacto, contrario a las prótesis convencionales que son dos materiales adheridos en un horno, las fracturas son prácticamente imposibles. Fuimos los primeros en España en hacer una Rehabilitación Completa de zirconio ya en el año 2004. Las estructuras de zirconio de nuestro primer caso fueron fabricadas en Alemania.
Diagnóstico de Caries por Láser
Permite conocer con precisión el tamaño y profundidad de las caries antes de ser intervenidas, evitando así las sorpresas y los tratamientos innecesariamente agresivos, o los errores abordando caries antes de que sea necesario.
Ortodoncia Abreviada con Brackets Autoligables de Baja Fricción u Ortodoncia Invisible
Mediante la utilización de sistemas sin ligaduras (los arcos van “sueltos”), se reduce unas 100 veces la fuerza de los arcos convencionales iniciales, consiguiendo más confort para el paciente y una reducción de tiempo del 30%, a la vez que un resultado final más estético y estable. Con estos sistemas autoligables de baja fricción, las extracciones dentales para ganar espacio en casos complejos, se han reducido drásticamente. Sólo usamos el sistema patentado Damon.
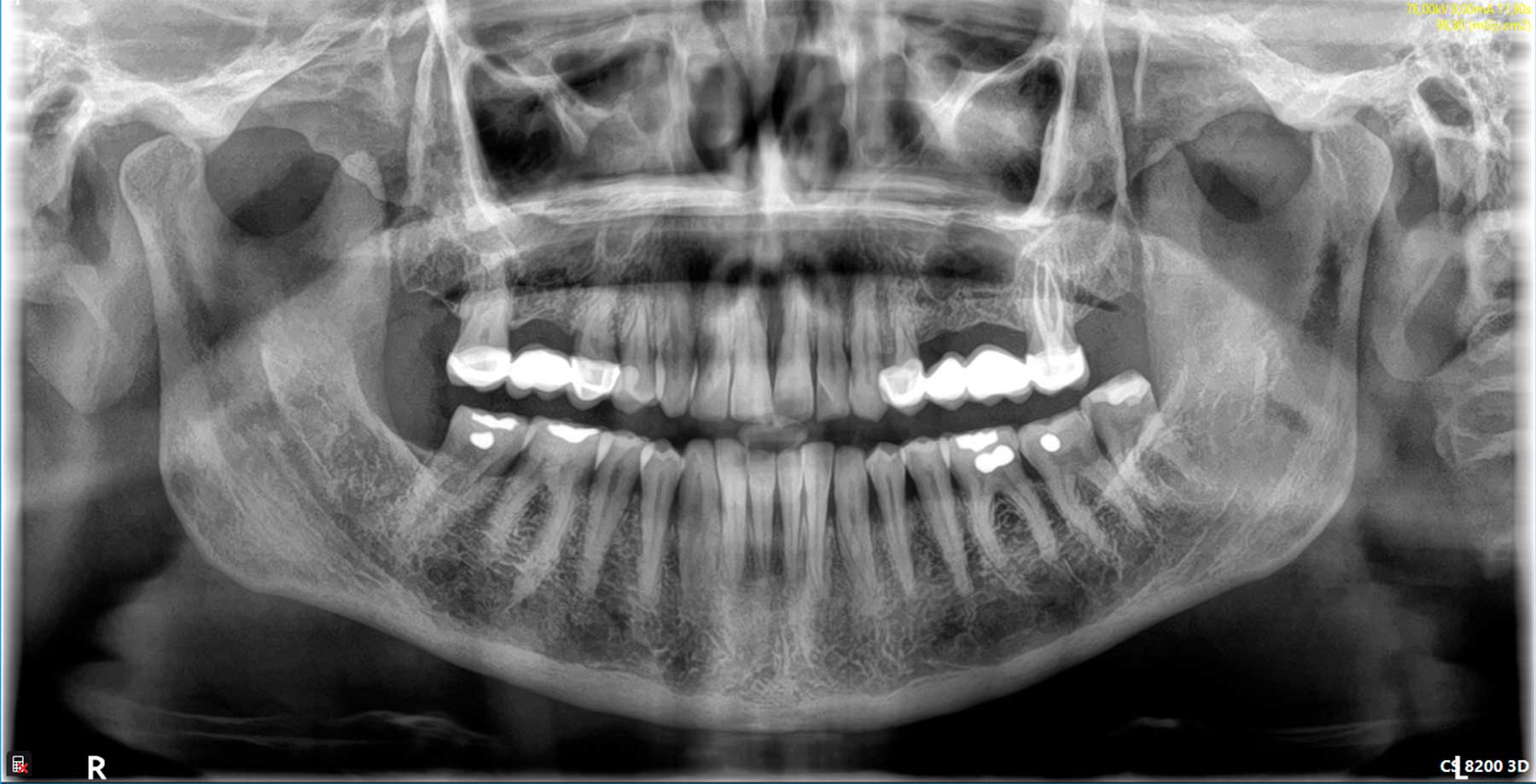
Radiología digital
Reduce en un 80% la radiación que recibe el paciente y permite obtener una imagen de forma instantánea, sin necesidad de revelado. Además, la tecnología digital permite la mejora de la imagen mediante técnicas informáticas. Hemos incorporado además, tecnología 3D mediante un sistema avanzado de Tomografía Computarizada de baja radiación CBCT (la de más baja radiación disponible en el mercado), lo que nos permite determinar la posibilidad de colocación de implantes en la primera visita diagnóstica, así como la detección de patologías asociadas a los maxilares.
Sistemas de magnificación óptica
Diseñados y fabricados específicamente para la profesión odontológica, permiten una mayor precisión al trabajar, ya que podemos obtener una imagen magnificada y ver con más precisión los detalles.
Sistemas de monitorización del paciente
Fundamentales durante los tratamientos realizados con sedación consciente o en pacientes con enfermedades generales. Los pacientes están totalmente seguros.
Tests genéticos y microbiológicos
Tests para la determinación de patógenos periodontales específicos y la susceptibilidad genética del individuo a la enfermedad periodontal, mediante técnica de PCR.
Tests para la detección precoz de cáncer bucal
Tests para la detección precoz de cáncer bucal y si es necesario, servicio de biopsias con estudio de anatomía patológica.
Servicio de Tomografía computarizada CBCT, ortopantomografía, telerradiografía y radiografías de ATM al momento
Mediante la radiología digital de baja radiación, podemos valorar estructuras de interés odontológico o craneal, con imágenes 2D o 3D, según sea el caso.


























